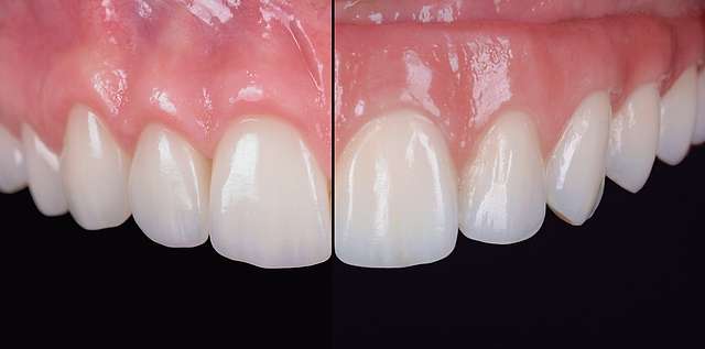
Reprezinta o afectiune cronica si degenerativa care afecteaza tesuturile din jurul dintilor (gingie, os, ligamente). Tratamentele parodontale au scopul de a inlatura
cauzele afectiunii, si de stopa evolutia acesteia. Dupa tratarea cauzelor, focusul se muta pe tratamentul efectelor, prin diferite proceduri de reconstructie.
Cauze
Diferiti factori pot influenta aparitia afectiunii parodontale. Chiar daca bacteriile sunt principala cauza a problemelor parodontale, numerosi alti factori le pot inrautati. Acestia pot fi genetici, deprinsi (fumatul, igiena precara, alimentatie) sau dentari (infectii la nivelul radacinilor dintilor, lucrari vechi deteriorate).
Abordare sistematica
Diagnosticam intotdeauna cauza problemei si eliminam toti factorii care au cauzat afectiunea. Este posibil sa recomandam schimbari in stilul de viata, sa echilibram probleme de muscatura, tratament al dintilor afectati sau extratia celor care nu se mai pot restaura. Dupa acestea se incepe faza de reconstructie printr-o combinatie de Grefe de tesut, Implanturi Dentare si in cazuri severe gingie artificiala din ceramica. Citeste mai mult
Longevitate si predictabilitate
Predictabilitatea se obtine din planificare. Tehnologiilor digitale precum tomografiile computerizate si colaborare interdisciplinara ne permit sa determinam corect cauzele afectiunii si sa alegem cel mai eficient tratament pentru rezultate durabile.
Strategie minim-invaziva
Fiecare plan de tratament este personalizat pentru cerintele specifice ale fiecarui caz, respectand o strategie minim-invaziva, care are menirea de a prezerva biologia, de a atinge rezultatul scontat printr-un numar minim de proceduri.
| Fatete pe dinti naturali | Punte fixa pe 6 implanturi |
|---|
