Signature Smile Design

Programează-te

Estetica, prin definiția ei, este subiectivă, iar dacă ne-am ghida dupa metoda tradițională care se bazează pe un set universal de reguli, ne-am îndepărta foarte mult de unicitatea fiecărei persoane și am ajunge într-o zona generică care în teorie se potrivește oricui, dar la nivel individual este foarte posibil sa nu ne placa.

Prin adoptarea unei metode care tratează fiecare zâmbet ca fiind distinct și de neînlocuit, nu doar că onorăm identitatea personală a fiecărei persoane, dar integrăm aspecte cruciale pentru a obtine stabilitate pe termen lung, echilibru functional si biologic si o estetica armonioasa.

 

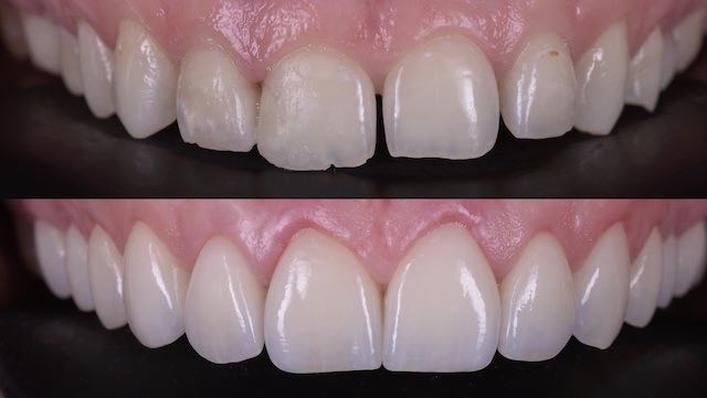
Cum se realizează un Smile Design?

Planificarea unui zâmbet individualizat, nu începe de la dantura ci de la trăsăturile faciale, care ne ghideaza sa proiectam conturul si armonia ideala a fiecarui zambet in parte. Odata ce avem cadrul viitorului zambet, ne bazam pe un algoritm avansat de cautare intr-o vasta baza de date de forme naturale, prin care generam compozitii unice, care se îmbină armonios cu personalitatea. Designul zambetului nu este un lucru pe care trebuie sa il ceri, ci il primesti din start, atunci cand estetica este unul dintre scopurile tratamentului.

Acest design prim pas de Smile Design se transpune apoi într-un proiect 3D în care fiecare procedura este planificata digital în cele mai mici detalii. Aceasta simulare digitala ne permite ulterior sa executam tratamentul cu cea mai mare precizie astfel ca rezultatul final este acela pe care împreună l-am stabilit dinainte sa începem orice intervenție.

Programează-te

Contactati-ma in 48h

Contactati-ma in 24h

Am fost informat ca, pentru a raspunde solicitarii mele, Dentcof va prelucra datele personale de mai sus conform Politicii de confidentialitate .

Raspundem la email in functie de importanta si urgenta. Incercam sa raspundem in 48h de la primirea oricarui mesaj.

Programează un consult

+4 0373 808 103

contact@dentcof.ro

Raspundem la email in functie de importanta si urgenta. Incercam sa raspundem in 48h de la primirea oricarui mesaj.