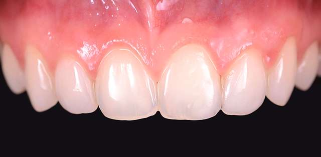
Fatetele dentare no prep se pot folosi in cazuri aditive ( dinti mici, dinti cu spatii, dupa tratamente ortodontice ). Fatetele no prep se pot folosi doar pe dinti naturali, sanatosi si integri. Avantajul fatetelor no prep este ca nu necesita deloc pilirea dintilor, fiind un tratament non-invaziv.
Din punct de vedere tehnic, ele sunt identice cu fatetele clasice. Sunt la fel de estetice si au acelasi grad de lonegevitate. In multe cazuri, fatetele dentare se pot folosi in combinatie cu fatetele no prep, in functie de design-ul final al zambetului.
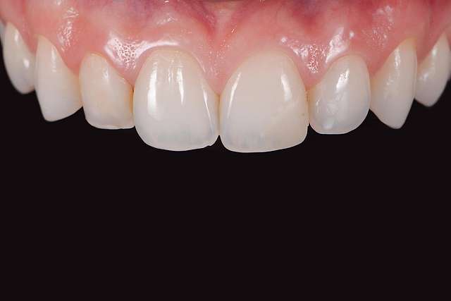
Non Invaziv. Fara anestezie.
Fiind un tratament pur aditiv, pilirea dintilor nu este necesara. Asadar, procedura se realizeaza fara anestezie, nu este dureroasa, iar in urma tratamentului nu exista sensibilitate.
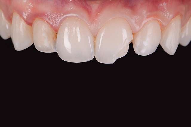
Impact imediat. Fara fatete provizorii.
Acest tip de fatete se aplica doar pe dinti integri si sanatosi, si cum acestia nu trebuie piliti, nu este nevoie de niciun fel de provizorat. Tratamentul presupune 3 etape : Design, amprenta si cimentarea fatetelor. Impactul estetic este imediat.
