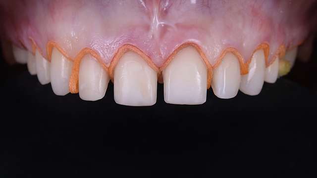
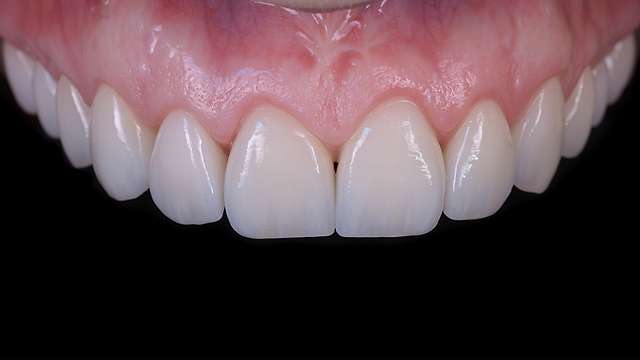
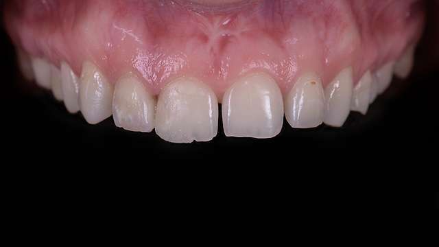
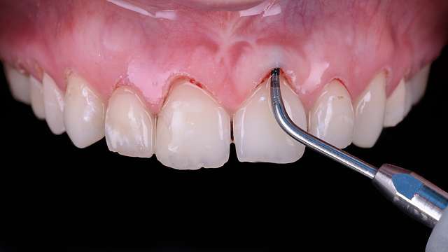
Un design biometric presupune copierea de forme naturale de dinți și aplicarea acestora în tratamentul cu fațete dentare. Acest proces ne permite sa obținem o naturalețe subtilă. Ai un zâmbet mai frumos, dar nimeni nu iși va da seama că ai fațete. Acest caz a fost tratat în cadrul unui curs live, RAW, pe durata a 3 zile, în Ianuarie 2022.
