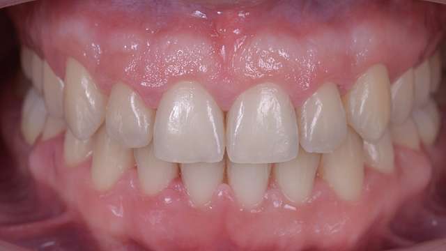
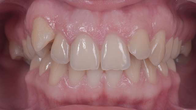
In cazul in care purtarea aparatului dentar fix este un inconvenient din punct de vedere estetic, va putem oferi alternative ale tratamentului ortodontic cu gutiere transparente ( Invisalign, Clear Aligner etc). Cazurile de o dificultate minima si medie pot fi tratate folosind gutierele transparente. Dupa documentarea initiala, se va planifica digital cazul.
Durata tratamentului este influentata de numarul de gutiere necesare pentru finalizarea tratamentului, care se stabileste odata cu planificarea digitala. Fiecare aligner muta dintii 0.3-0.5 mm. Tratamentul ortodontic cu gutiere transparente poate fi combinat cu ancorajul scheletal ( placute, miniimplanturi) pentru rezultate rapide.
Intrebari frecvente
Care este durata medie a tratamentului Clear Aligner?
Un tratament de o dificultate medie dureaza aproximativ 5-6 luni. In acest timp, sunt necesare 4 vizite pentru activari. La finalul tratamentului, gutiera fixa sau mobila este necesara.
Care este durata medie a tratamentului Invisalign?
Un tratament de o dificultate medie dureaza aproximativ 12-14 luni. In acest timp, sunt necesare 4 vizite pentru activari. La finalul tratamentului, gutiera fixa sau mobila este necesara.
